
Dental Crowns & Bridges
We use tooth restorations like dental crowns and bridges at Unkel & Shibilski Dental to help preserve natural teeth that are decayed, broken, damaged, or missing. Restorative dentistry aims to restore a tooth structure's health, function, and integrity while maintaining a natural appearance.
What Is a Dental Crown?
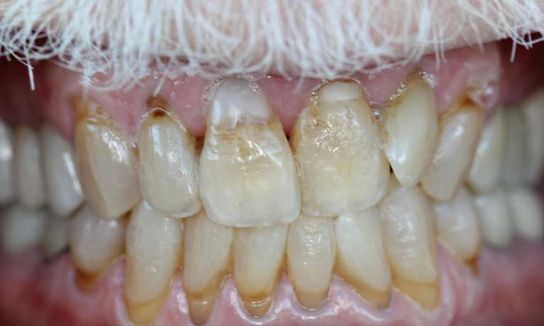
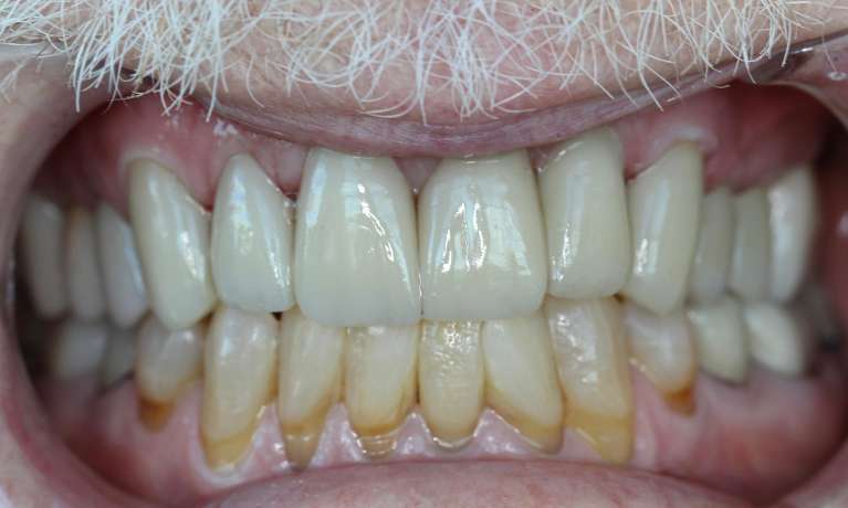
A dental crown protects a compromised and helps maintain its size, strength, shape, and appearance. Dental crowns are also called caps because they cover an entire tooth and create a new outer surface.
When we place a final crown, it contacts the opposing tooth the same way a natural tooth does to restore comfortable chewing function. Our dental crowns blend harmoniously with surrounding teeth because we choose high-quality, aesthetic materials like porcelain and zirconia.
At Unkel & Shibilski Dental, we also offer gold crowns and porcelain-fused-to-metal crowns.
When Do You Recommend a Dental Crown?
Our dentists in Englewood, CO, recommend dental crowns in the following situations:
- Large cavity — When decay involves too much of a tooth, it is too weak to support a filling. Instead, we remove the decay, fill the tooth, and protect it with a crown.
- Existing large filling — A filling that takes up more than half of a tooth doesn't leave enough structure to withstand normal chewing. Placing a dental crown protects the tooth and extends its lifespan, and improves chewing function.
- Cracked tooth — When a crack damages the outer layer of tooth enamel, our dentists may recommend a crown to prevent it from spreading and provide a new protective outer layer.
- Root canal treatment — During root canal treatment, our dentists remove infected dental pulp, including nerves and blood vessels. Over time, the tooth becomes brittle and more prone to cracking, so we recommend a dental crown to protect it.
What's Involved with Getting a Dental Crown?
Getting a dental crown involves several steps and two visits to complete. The first is to prepare the tooth by removing some outer enamel to ensure the crown fits snugly against the gumline for a natural appearance.
Next, we take impressions of the prepared tooth, and a shade guide helps us match the crown's color to the surrounding teeth for a seamless appearance. We also customize a temporary crown to protect the tooth while waiting for the final crown to be fabricated.
We send the model to a respected dental lab in our area that custom-crafts the final crown. When the crown is ready, we schedule an appointment to adjust the crown for proper fit and comfort and cement it securely to the tooth.
How Does a Dental Bridge Work?
We recommend a dental bridge to replace a missing tooth where teeth on either side of the gap are strong and healthy enough to support dental crowns. When replacing a single tooth, a bridge consists of three pieces: a crown placed on either side of the open space and a natural-looking artificial tooth or pontic that sits in the gap.
While we also offer dental implants, the benefit of fixed bridges is that the process takes 2-3 weeks compared to several months. And unlike implants, bridges are also partially covered under most insurance plans.
Is a Dental Crown or Bridge Right for You?
If you have a damaged, decayed, or missing tooth, a beautiful, natural-looking crown or bridge can restore your smile and ability to chew your favorite foods comfortably again.
Schedule a dental appointment at our Inverness dental office in Englewood, CO, to see if a crown or bridge is the right solution for you!